


GEMEINSAM für maximalen ZAHNERHALT
ABOUT

Kollegial, leidenschaftlich & authentisch
Liebe Kolleginnen & Kollegen,
Liebe Patientinnen & Patienten,
schön, dass Sie sich für die Zahnerhaltung interessieren und begeistern können. Wir sind Zahnerhalter aus Überzeugung und die mikroskopische Endodontie ist meine große Leidenschaft. Am meisten faszinieren mich die komplexen, anatomischen Strukturen des Wurzelkanalsystems, das feinmotorische Arbeiten und die Chance, auch in vermeintlich schwierigen Fällen eine Lösung zu finden.
Nachdem ich zuerst das DGET Endodontie Curriculum absolviert habe, beende ich derzeit den postgradualen Masterstudiengang Endodotologie der DDA / DGET. Während meiner mehrjährigen Tätigkeit an der Charité Berlin (Abt. für Zahnerhaltung & Präventivzahnmedizin) war es mir möglich, neben praktischen Fertigkeiten, auch ein tiefes wissenschaftliches Verständnis für die Endodontie zu erlangen.
Ich würde mich freuen, wenn ich mein Wissen & Können einbringen und als Ihr Partner in endodontischen Fragestellungen fungieren kann.

LEISTUNGEN
Alle endodontischen Behandlungen werden unter dem Operationsmikroskop durchgeführt.
Die Verwendung von Kofferdam, elektronischer Längenmessung, chemophysikalischer Desinfektion, rotierenden Nickel-Titan-Instrumenten und warm-vertikalen Obturationsmethoden sind für uns selbstverständlich.
Zusätzlich bieten wir 3D- Diagnostik mittels digitaler Volumentomographie (DVT) an.
1
2
Orthograde Revisionsbehandlung
vorhandener Wurzelkanalfüllungen
3
4
5
6
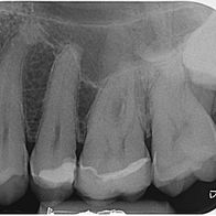
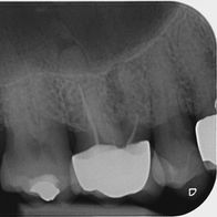
FALLBEISPIELE
vorher
nachher
MITGLIEDSCHAFTEN


.png)
Sprechzeiten























